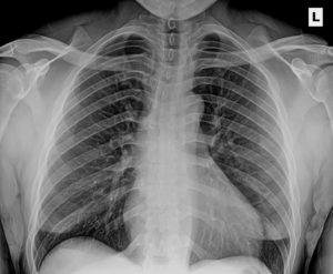
Chest-AP