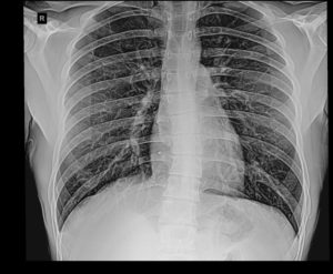
Chest-Sharp-AP-2-Broken-Rib